21.06.2021

Rückblick 20. Keramik Symposium

Behandlungsplanung am konkreten Fall

In seinem 20. Jahr fand das Symposium am 14.11. aufgrund der Covid -19-Pandemie per Live-Übertragung aus der Digital-Dental-Academy in Berlin statt.

Die Referenten diskutierten verschiedenste Optionen einer Patientenbehandlung und vermittelten wichtige Entscheidungswege für das keramische Konzept und seine Alternativen.

Entscheidungskaskade bei einer „Frontzahnversorgung“

Der AG Keramik Vorsitzende Dr. Bernd Reiss freute sich in seiner Begrüßungsrede zum Symposium über ein interessiertes Auditorium mit „sehr keramikambitionierten“ Teilnehmern an den Bildschirmen. Vom Podium der DDA aus referierten Professor Dr. Florian Beuer, Zahntechnikermeister Andreas Kunz, Zahnarzt Peter Neumann sowie Dr. Bernd Reiss. Getreu dem Ziel der AG Keramik, „die therapeutischen und technischen Möglichkeiten von Dentalkeramiken objektiv zu eruieren“ erörterte das Team an einer sequenzweise eingespielten Patienten-Behandlung viele Entscheidungsschritte hin zu einer fundierten Therapielösung. Am Tag zuvor hatte Professor Beuer den Patientenfall, eine Frontzahnversorgung mit vollkeramischer Restauration auf einem Implantat und einem avitalen natürlichen Zahn, durchgeführt und aufgezeichnet. 

Getreu dem Ziel der AG Keramik, „die therapeutischen und technischen Möglichkeiten von Dentalkeramiken objektiv zu eruieren“ erörterte das Team an einer sequenzweise eingespielten Patienten-Behandlung viele Entscheidungsschritte hin zu einer fundierten Therapielösung

Am Tag zuvor hatte Professor Beuer den Patientenfall - eine Frontzahnversorgung mit vollkeramischer Restauration auf einem Implantat und einem avitalen natürlichen Zahn - durchgeführt und aufgezeichnet.

Alternativen und -Varianten 

Zunächst diskutierten die Referenten verschiedene Behandlungsoptionen, so zum Beispiel Extrusionstechniken als Alternative zur Extraktion nach einer tiefen palatinalen Fraktur. Mit Verweis auf den realen Fall, bei dem Zahn 11 bereits fehlte, erläuterte Peter Neumann die Vor- und Nachteile einer Maryland-Brücke. Professor Beuer hatte im Einklang mit dem Wunsch des Patienten entschieden, eine klassische zweizeitige Implantation mit simultaner lateraler Knochenaugmentation sowie eine Weichgewebeaugmentation zur Rekonstruktion des Volumens durchzuführen. Die Implantation erfolgte statisch navigiert mit einer präzisen Bohrschablone auf Grundlage der DVT-Daten mittels SMOP. Für den vorliegenden Fall bot die analoge Abformung mit individualisierten Abformpfosten und einer präzisen Übertragung des vorher mittels eines Provisoriums ausgeformten Emergenzprofils einen klinischen Vorteil. Vergleichsweise wurde jedoch auch die digitale Erfassung mit zwei Intraoralscannern (Primescan, Dentsply Sirona; Trios 4, 3shape) gezeigt. 

Analog und digital im Vergleich

ZTM Andreas Kunz hatte den Patienten im Vorfeld einer ästhetischen Analyse unterzogen. Sein Ziel war es dann, das Weichgewebe und das Abutment aufeinander abzustimmen und das Emergenzprofil präzise auf die finale Situation zu übertragen. „Digital macht es bei mir nur Sinn, wenn es schneller geht als analog“, betont Kunz. Nach diesem Prinzip hatte er das Abutment aus Zirkonoxid im CAD/CAM-Verfahren hergestellt, die Kronen aber in Wachs modelliert. Bei der Auswahl der Keramik orientierten sich Zahnarzt und Zahntechniker nicht zuletzt an der S3 Leitlinie, die für die Frontzahnkronen Lithiumdisilikat oder verblendete Zirkonoxidkronen empfiehlt. Beide Kronen sowie das Veneer für den retinierten Zahn 13 wurden aus Glaskeramik (IPS e.max, Ivoclar) gefertigt und adhäsiv eingesetzt. 

AG Keramik: Wissen, was in der Praxis passiert

Dr. Bernd Reiss brachte am Ende der Veranstaltung den Anreiz für die Arbeit der AG Keramik auf den Punkt: „Bei jeder Behandlung gibt es so viele Entscheidungen zu treffen. Daher fragen wir bei der AG Keramik, was in der Praxis passiert und was wir für die Praktiker/innen tun können. Mit unserer Praxisbefragung sowie unserer Qualitätsstudie Ceramic Success Analysis (CSA) erhalten wir regelmäßig wertvolle Hinweise zur Verwendung der Materialien und Verfahren und können das auch an die Zahnärzte und Zahntechniker zurückspiegeln."

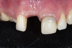
Ausgangssituation (Quelle: F. Beuer)
Individualisierter Abformpfosten 11, stark verfärbter Stumpf 21 (Quelle: F. Beuer)
Das Ergebnis ist ästhetisch wie klinisch überzeugend. (Quelle: F. Beuer)

Aktualisierung S3 Leitlinie 

„Vollkeramische Kronen und Brücken“

In Kürze wird die S3 Leitlinie veröffentlicht, die auf Initiative der Deutschen Gesellschaft für Prothetische Zahnmedizin und Biomaterialien (DGPro) und der Deutschen Gesellschaft für Zahn-, Mund- und Kieferheilkunde (DGZMK) soll die S3 Leitlinie zum Thema „Vollkeramische Kronen und Brücken“ aktualisiert wurde.

Der klinische Einsatz vollkeramischer Kronen und Brücken ist inzwischen weit verbreitet. Wissenschaftliche Studien zeigen jedoch, dass deren klinische Bewährung stark vom Einsatzbereich, den verwendeten Materialien und der Einhaltung erforderlicher Schicht- und Verbinderstärken abhängt. Die Überarbeitung der Leitlinie zielt darauf ab, die derzeitig vor-handene wissenschaftliche Evidenz zusammenzutragen, um klinische Pfade zu definieren, innerhalb derer die Anwendung vollkeramischer Kronen und Brücken vergleichbare klinische Langzeitergebnisse (länger als 5 Jahre, besser 10 Jahre) wie bei metallbasierten Kronen und Brücken bietet. Eine solche Leitlinie wird die Sicherheit für die Patienten und Zahnärzte gleichermaßen erhöhen.

Die AG Keramik hat sich als Fachgesellschaft bereits ab der Ersterstellung dieser Leitlinie beteiligt und bei den Aktualisierungen als stimmberechtigter Mandatsträger mitgewirkt. 
Das Leitlinienprojekt wird von Frau Prof. Gierthmühlen, Düsseldorf, koordiniert.

S2K Leitlinie „Intraoralscan in der Zahnheilkunde“

AG Keramik begleitet den fachlichen Austausch

Die neue S2K Leitlinie „Intraoralscan in der Zahnheilkunde“ entsteht auf Initiative der Deutschen Gesellschaft für Zahn-, Mund- und Kieferheilkunde (DGZMK) sowie der Deutschen Gesellschaft für computergestützte Zahnheilkunde (DGCZ). 
Das Leitlinienprojekt wird von Prof. Dr. Jan-Frederik Güth, Frankfurt a. M., koordiniert. 
Auch bei dieser Leitlinie beteiligt sich die AG Keramik als Fachgesellschaft bereits ab der Ersterstellung und wird bei den Aktualisierungen als stimmberechtigter Mandatsträger mitwirken.

Die Anwendung intraoraler Scanner als Alternative zur konventionellen Abformung hat mittlerweile in allen zahnmedizinischen Disziplinen Einzug gehalten. Die digitale intraorale Erfassung entwickelt sich rasant weiter, und mit ihr die Anwendungsgebiete und  Einsatz-möglichkeiten. Über die restaurative Zahnheilkunde hinaus unterstützen Intraoralscanner heute auch in den Bereichen der digitalen Diagnostik und des digitalen Monitorings – von der Kariesdetektion bis zum Dynamischen Digitalen Modell. Auch der Einsatz dentaler Restaurationsmaterialien ist heutzutage eng mit der Entwicklung digitaler Technologien verbunden. Dabei dient der Intraoralscan als Grundlage sowohl für den Herstellungsprozess als auch künftig für die Qualitätsbewertung von Restaurationen sowie deren Langzeit-verhalten – ein Kernanliegen der AG Keramik.

Obwohl die digitale intraorale Erfassung mittels Intraoralscan eine Schlüsselstelle im digitalen Workflow darstellt, werden die Anwendungsgebiete und Potentiale kontrovers diskutiert. Die S2K Leitlinie soll den derzeitigen Wissensstand zum Thema intraoraler Scansysteme in der Zahnmedizin hinsichtlich der technischen Grundlagen sowie deren Genauigkeit und Anwendungsgebiete abbilden. Sie dient der Definition von prinzipiellen Rahmenbedingungen bei der Anwendung der Intraoralscanner innerhalb des Gesamt-gebietes der Zahnheilkunde sowie der Mund-, Kiefer- und Gesichtschirurgie in Deutschland und soll hierfür konkrete Handlungsempfehlungen ableiten.

Ihnen hat unser Newsletter gefallen oder wäre auch für weitere Personen interessant? 
- Hier geht's zur Anmeldung -

 

 

Arbeitsgemeinschaft für Keramik in der Zahnheilkunde e.V.
Society for Dental Ceramics (SDC)
Association pour la Céramique Dentaire (ACD)

Geschäftsstelle/Head Office
Postfach 11 60
76308 Malsch
Tel. 0721 9452929
info@ag-keramik.de
www.ag-keramik.de

Schriftführung & Medienbetreuung/Media Relations
Dr. Caroline Gommel
Tel. 06257 9994930
caroline.gommel@dokolea.de

Wissenschaftlicher Beirat
Scientific Board
Comité consultatif scientifique

Prof. Dr. Florian Beuer, Charité Berlin – Prof. Dr. Daniel Edelhoff, München – Prof. Dr. Roland Frankenberger, Marburg – Prof. Dr. Petra Gierthmühlen, Düsseldorf – Prof. Dr. Matthias Kern, Kiel – Dr. Bernd Reiss, Malsch – Prof. Dr. Dipl.-Ing. (FH) Martin Rosentritt, Regensburg

Internationale Kooperationspartner
International Partner
Partenaires internationaux

Prof. Dr. Claude Archien, Université Henri Poincaré, Nancy – Prof. Dr. Gerwin Arnetzl ϯ, Universität Graz - Prof. Dr. Michael Behr, Universität Regensburg – Prof. Dr. Claus Peter Ernst, Universität Mainz – Prof. Dr. Bernd Kordaß, Universität Greifswald - Prof. Dr. Dr. Albert Mehl, Universität Zürich – Prof. Dr. Peter Pospiech – Prof. Dr. Lothar Pröbster, Tübingen/Wiesbaden - Prof. Dr. Ariel J. Raigrodski, University of Washington, Seattle – Prof. Dr. Sven Reich, RWTH Aachen - Prof. Dr. Howard E. Strassler, University of Maryland, Baltimore – Prof. Dr. Van P. Thompson, King‘s College London Dental Institute - Prof. Dr. Stefan Wolfart, RWTH Aachen – Prof. Dr. Masao Yamazaki, Clinical Dental Society, Tokyo – Prof. Dr. Ulrich Lohbauer, Universität Erlangen – Assoc. Prof. Dr. Susanne Scherrer, Universität Genf – Dr. Uwe Blunck, Charité Berlin – Dr. Jan Hajtó, München

Kategorien